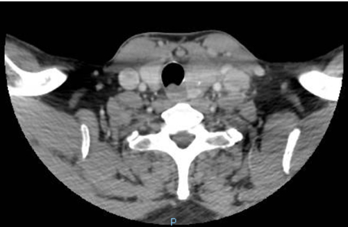
Figure 1. The crescent trachea sign (CT scan)


Figure 2. Large goitre causing tracheal deviation and a crescent trachea (MRI)


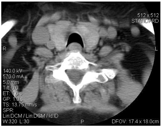
Figure 3. The crescent trachea sign with apparent double-lumen (the posterior lumen is the oesophagus)
(CT scan)


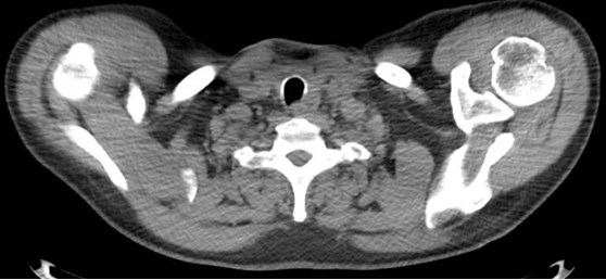
Figure 4. Pre-operative CT scan of the neck demonstrating crescent trachea sign


Figure 5: Post-operative CT scan of the neck demonstrating resolution of crescent trachea


Figure 6: Endo-luminal view of the trachea with cricoid pressure applied demonstrating the crescent trachea shape, in a “normal” patient without a goitre.


Figure 7: Trachea without cricoid pressure applied showing resolution of the crescent trachea